Jump-Medical Kft
Teljeskörű képi diagnosztikai vizsgálatok szervezése
Menü Keresés
Kezdőlap > Képgaléria: MR vizsgálata > 179697_426633000747602_1688298481_n.jpg

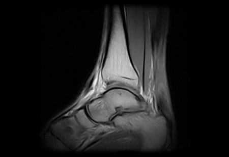
Az Achilles ín szakadása bevérzéssel

Előző
Diavetítés indítása
Következő
Az Achilles ín szakadása bevérzéssel
Vissza
  • Kezdőlap
  • Rólunk
  • Vizsgálatok
    • Térd
      • A térd típusos betegségei
        • Szalagsérülések
        • Porcsérülések
        • Arthrosis-porckopás
    • Boka
      • Boka tipusos betegségei
      • MR vizsgálatok
    • Gerinc
      • MR vizsgálata
    • Váll
      • A váll betegségei
        • Impingement
        • Supraspinatus tendinitis
        • AC ízület sérülése
        • Glenohumeralis instabilitás
      • MR vizsgálat
    • Könyök
      • A könyök ízület betegségei
      • MR vizsgálat
    • Csukló
      • A csukló ízület betegségei
      • MR vizsgálat
    • Izom ( comb, vádli )
      • Az izom sérülései
      • MR vizsgálat
    • Láb
      • A láb betegségei
    • Terheléses vizsgálatok
      • Terheléses MR vizsgálatok
    • Achilles ín
      • Az Achilles ín eltérései
      • MR vizsgálata
    • Régiók
  • Újdonságok
    • Esaote G-Scan MRI
  • Hírek
  • Kapcsolat

Szekér Zoltán

06-70-4271127 mrdiagnosztika@gmail.com
© 2013 Minden jog fenntartva.
Készíts ingyenes honlapotWebnode
 
Webnode, az innovatív webépítő
Megnyerő weboldalad lehet ingyen!
Kezdd el